Case of the Month: December 2025

Title: A 53-year-old male with a history of intractable epilepsy. 

Author: Powell, Reuben P., Tursunbaev, Farkhod, and Campbell, Gerald A. 

Institution: The University of Texas Medical Branch

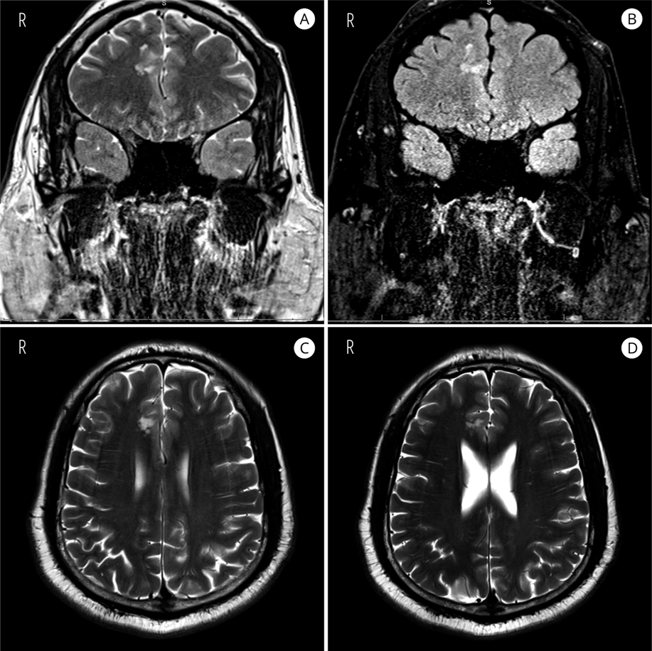
Clinical History: A 53-year-old male with a history of intractable epilepsy since adolescence presented for evaluation. MRI revealed nodular, non-enhancing subcortical T2/FLAIR hyperintense lesions in the right parasagittal frontal lobe, along the cingulate gyrus and sulcus, measuring 18 x 13.2 x 12.8 mm in aggregate. The patient underwent complete surgical resection and became seizure-free postoperatively with tapering of antiepileptic medications.

Radiology: 

MRI: Multiple hyperintense nodules in the right parasagittal frontal lobe on T2 (A, C, and D) and T2 FLAIR (B).

Representative Histology/IHC: 
H&E: Nodular pattern of vacuolated neuropil and large mature-appearing neurons, sharply demarcated from uninvolved cortex.
IHC: Neurofilament staining highlights the neuropil (A, 20x), and synaptophysin immunostaining shows strong positivity in tumor cells (arrows) (B, 40x).

 

Questions for Viewers: 

What is the differential diagnosis for these radiologic and histologic findings? 

How does immunoreactivity for OLIG2 inform the distinction among low-grade epilepsy-associated tumors, given the overlapping expression of OLIG2 in glial and some glioneuronal neoplasms? 

Diagnosis and Discussion