Case of the Month: January 2025 

Title: 52 year-old woman with progressive headaches and ataxia

Author: Dimitri Trembath, MD, PhD

Institution: Foundation Medicine, Morrisville, North Carolina 

Clinical History: A 52-year-old woman presented with a six-month history of progressively worsening headaches. Her course was notable for intermittent visual disturbances and a recent onset of mild ataxia. There was no reported history of malignancy or prior neurologic disease. 

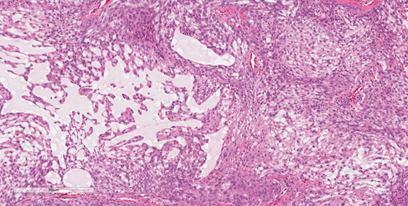
Radiology: Magnetic resonance imaging demonstrated a 3.5 cm well-circumscribed, contrast-enhancing extra-axial mass centered in the cerebellopontine angle. The lesion showed a broad-based dural attachment. 

Representative Histology / IHC: 

 

Questions for Viewers: 

1) What is the differential diagnosis for this lesion? 

2) What immunohistochemical stains would help with the differential diagnosis? 

3) What are likely molecular altercations found in this lesion? 

Diagnosis and Discussion